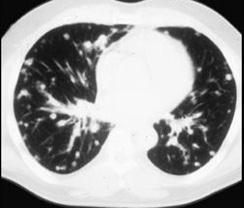
女,72岁,咳嗽,胸闷,呼吸困难1月余,1年前行结肠癌根治术,CT检查如图,请选择最可能的诊断 ( )A、间质性肺炎B、粟粒型肺结核C、肺...

作者: rantiku 人气: - 评论: 0
问题 女,72岁,咳嗽,胸闷,呼吸困难1月余,1年前行结肠癌根治术,CT检查如图,请选择最可能的诊断 ( )
选项 A、间质性肺炎 B、粟粒型肺结核 C、肺转移瘤 D、尘肺 E、肺癌
答案 C
解析

猜你喜欢

发表评论
更多 网友评论0 条评论)
暂无评论

访问排行

Copyright © 2012-2014 恰考网 Inc. 保留所有权利。 Powered by tikuer.com

页面耗时0.0361秒, 内存占用1.03 MB, Cache:redis,访问数据库19次