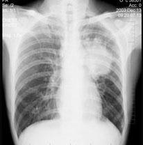
女性,51岁,胸痛数月,痰血两天,X线检查见图,最可能的诊断是 ( )A、左肺转移瘤B、支气管扩张C、左侧炎性假瘤D、左侧纵隔肿瘤...

作者: rantiku 人气: - 评论: 0
问题 女性,51岁,胸痛数月,痰血两天,X线检查见图,最可能的诊断是 ( )
选项 A、左肺转移瘤 B、支气管扩张 C、左侧炎性假瘤 D、左侧纵隔肿瘤 E、左肺癌
答案 E
解析

猜你喜欢

发表评论
更多 网友评论0 条评论)
暂无评论

访问排行

Copyright © 2012-2014 恰考网 Inc. 保留所有权利。 Powered by tikuer.com

页面耗时0.0283秒, 内存占用1.03 MB, Cache:redis,访问数据库17次