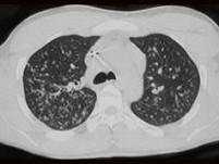
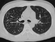
男,26岁,发热,夜间盗汗,咳嗽半月余,请结合CT检查选出最可能的诊断 ( )A、肺转移瘤B、矽肺C、间质性肺炎D、弥漫型肺癌E、...

作者: rantiku 人气: - 评论: 0
问题 男,26岁,发热,夜间盗汗,咳嗽半月余,请结合CT检查选出最可能的诊断 ( )
选项 A、肺转移瘤 B、矽肺 C、间质性肺炎 D、弥漫型肺癌 E、粟粒型肺结核
答案 E
解析

猜你喜欢

发表评论
更多 网友评论0 条评论)
暂无评论

访问排行

Copyright © 2012-2014 恰考网 Inc. 保留所有权利。 Powered by tikuer.com

页面耗时0.0699秒, 内存占用1.03 MB, Cache:redis,访问数据库18次