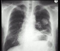
男,67岁,胸痛半月,胸片检查如图,最可能的诊断为 ( )A、左上肺球形不张B、左上肺脓肿C、左上肺周围型肺癌D、左上肺炎性假瘤E、左...

作者: rantiku 人气: - 评论: 0
问题 男,67岁,胸痛半月,胸片检查如图,最可能的诊断为 ( )
选项 A、左上肺球形不张 B、左上肺脓肿 C、左上肺周围型肺癌 D、左上肺炎性假瘤 E、左上肺结核球
答案 C
解析

猜你喜欢

发表评论
更多 网友评论0 条评论)
暂无评论

访问排行

Copyright © 2012-2014 恰考网 Inc. 保留所有权利。 Powered by tikuer.com

页面耗时0.0834秒, 内存占用1.03 MB, Cache:redis,访问数据库20次