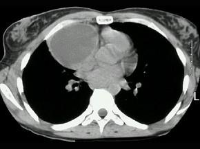
女,18岁,自感胸闷,X线检查见纵隔占位,CT检查如图,最可能的诊断为 ( )A、淋巴瘤B、下纵隔胸腺瘤C、上纵隔胸腺瘤D、胸内甲状腺...

作者: rantiku 人气: - 评论: 0
问题 女,18岁,自感胸闷,X线检查见纵隔占位,CT检查如图,最可能的诊断为 ( )
选项 A、淋巴瘤 B、下纵隔胸腺瘤 C、上纵隔胸腺瘤 D、胸内甲状腺瘤 E、纵隔畸胎瘤
答案 E
解析

猜你喜欢

发表评论
更多 网友评论0 条评论)
暂无评论

访问排行

Copyright © 2012-2014 恰考网 Inc. 保留所有权利。 Powered by tikuer.com

页面耗时0.0363秒, 内存占用1.03 MB, Cache:redis,访问数据库14次