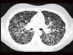
女性,19岁,低热,盗汗,乏力,咳嗽1月余,CT检查如图,请选出最可能的诊断 ( )A、矽肺B、大叶性肺炎C、弥漫型肺癌D、粟粒型肺结...

作者: rantiku 人气: - 评论: 0
问题 女性,19岁,低热,盗汗,乏力,咳嗽1月余,CT检查如图,请选出最可能的诊断 ( )
选项 A、矽肺 B、大叶性肺炎 C、弥漫型肺癌 D、粟粒型肺结核 E、间质性肺炎
答案 D
解析

猜你喜欢

发表评论
更多 网友评论0 条评论)
暂无评论

访问排行

Copyright © 2012-2014 恰考网 Inc. 保留所有权利。 Powered by tikuer.com

页面耗时0.0380秒, 内存占用1.03 MB, Cache:redis,访问数据库13次