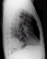
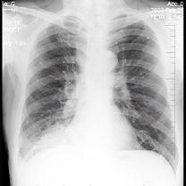
男性,62岁,咳嗽、胸痛一月,X线检查如图,最佳的诊断是 ( )A、右肺转移瘤B、右胸腔积液C、右下肺不张D、右肺癌E、右下肺炎症

作者: rantiku 人气: - 评论: 0
问题 男性,62岁,咳嗽、胸痛一月,X线检查如图,最佳的诊断是 ( )
选项 A、右肺转移瘤 B、右胸腔积液 C、右下肺不张 D、右肺癌 E、右下肺炎症
答案 D
解析

猜你喜欢

发表评论
更多 网友评论0 条评论)
暂无评论
错误啦!

错误信息

  • 消息: [程序异常] : MISCONF Redis is configured to save RDB snapshots, but it's currently unable to persist to disk. Commands that may modify the data set are disabled, because this instance is configured to report errors during writes if RDB snapshotting fails (stop-writes-on-bgsave-error option). Please check the Redis logs for details about the RDB error.
  • 文件: /twcms/kongphp/cache/cache_redis.class.php
  • 位置: 第 85 行
    <?php echo 'KongPHP, Road to Jane.'; ?>