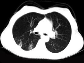
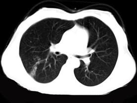
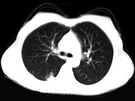
女,40岁,间断咯血一周,低热,行胸部CT扫描如图,选择最可能的诊断为 ( )A、支气管囊肿并感染B、肺脓肿C、肺部感染D、支气管...

作者: rantiku 人气: - 评论: 0
问题 女,40岁,间断咯血一周,低热,行胸部CT扫描如图,选择最可能的诊断为 ( )
选项 A、支气管囊肿并感染 B、肺脓肿 C、肺部感染 D、支气管扩张并感染 E、肺结核
答案 E
解析

猜你喜欢

发表评论
更多 网友评论0 条评论)
暂无评论

访问排行

Copyright © 2012-2014 恰考网 Inc. 保留所有权利。 Powered by tikuer.com

页面耗时0.0596秒, 内存占用1.03 MB, Cache:redis,访问数据库19次