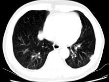
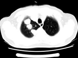
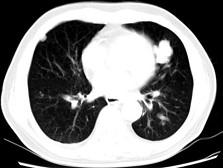
男,64岁,咳嗽半月,咯血一天,不发热,结合影像图像选择最可能的诊断 ( )A、结节病B、组织胞浆菌病C、肺转移性瘤D、肺结核...

作者: rantiku 人气: - 评论: 0
问题 男,64岁,咳嗽半月,咯血一天,不发热,结合影像图像选择最可能的诊断 ( )
选项 A、结节病 B、组织胞浆菌病 C、肺转移性瘤 D、肺结核 E、金葡菌肺炎
答案 C
解析

猜你喜欢

发表评论
更多 网友评论0 条评论)
暂无评论

访问排行

Copyright © 2012-2014 恰考网 Inc. 保留所有权利。 Powered by tikuer.com

页面耗时0.0284秒, 内存占用1.03 MB, Cache:redis,访问数据库19次