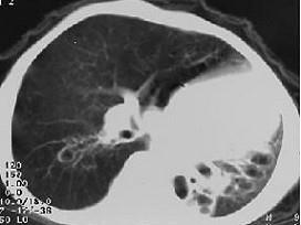
女,8岁,如图所示,最可能诊断为 ( )A、左下肺支气管扩张B、左下肺支气管囊肿C、左下肺隔离症D、左肺发育不全E、左下肺不张

作者: rantiku 人气: - 评论: 0
问题 女,8岁,如图所示,最可能诊断为 ( )
选项 A、左下肺支气管扩张 B、左下肺支气管囊肿 C、左下肺隔离症 D、左肺发育不全 E、左下肺不张
答案 D
解析

猜你喜欢

发表评论
更多 网友评论0 条评论)
暂无评论

访问排行

Copyright © 2012-2014 恰考网 Inc. 保留所有权利。 Powered by tikuer.com

页面耗时0.0521秒, 内存占用1.03 MB, Cache:redis,访问数据库20次