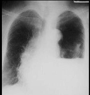
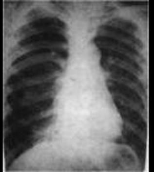
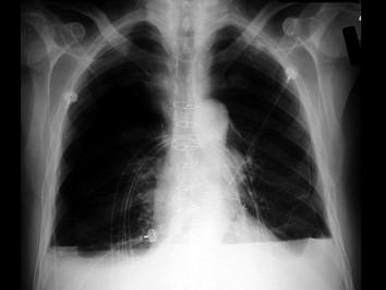
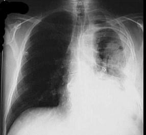
下列哪张图片是脓胸X线表现 ( )A、B、C、D、

作者: rantiku 人气: - 评论: 0
问题 下列哪张图片是脓胸X线表现 ( )
选项 A、 B、 C、 D、
答案 B
解析

猜你喜欢

发表评论
更多 网友评论0 条评论)
暂无评论

访问排行

Copyright © 2012-2014 恰考网 Inc. 保留所有权利。 Powered by tikuer.com

页面耗时0.0481秒, 内存占用1.03 MB, Cache:redis,访问数据库20次