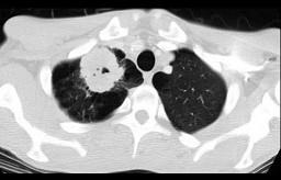
42岁,男,嗜烟酒,近一周咳嗽、咯血,请结合CT检查选择最可能的诊断 ( )A、韦格肉芽肿B、错构瘤C、肺癌D、肺曲菌病E、肺结核

作者: rantiku 人气: - 评论: 0
问题 42岁,男,嗜烟酒,近一周咳嗽、咯血,请结合CT检查选择最可能的诊断 ( )
选项 A、韦格肉芽肿 B、错构瘤 C、肺癌 D、肺曲菌病 E、肺结核
答案 E
解析

猜你喜欢

发表评论
更多 网友评论0 条评论)
暂无评论

访问排行

Copyright © 2012-2014 恰考网 Inc. 保留所有权利。 Powered by tikuer.com

页面耗时0.0404秒, 内存占用1.03 MB, Cache:redis,访问数据库20次