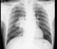
男性,59岁,痰中带血就诊,X线检查如图,最可能的诊断是 ( )A、肺转移瘤B、支气管扩张C、右肺癌D、右肺淋巴结肿大E、结节病

作者: rantiku 人气: - 评论: 0
问题 男性,59岁,痰中带血就诊,X线检查如图,最可能的诊断是 ( )
选项 A、肺转移瘤 B、支气管扩张 C、右肺癌 D、右肺淋巴结肿大 E、结节病
答案 C
解析

猜你喜欢

发表评论
更多 网友评论0 条评论)
暂无评论

访问排行

Copyright © 2012-2014 恰考网 Inc. 保留所有权利。 Powered by tikuer.com

页面耗时0.0293秒, 内存占用1.03 MB, Cache:redis,访问数据库17次