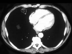
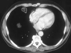
男,57岁,体检时发现肺部占位,CT检查如图,请选出最可能的诊断 ( )A、肺转移瘤B、肺曲菌病C、周围型肺癌D、肺结核E、肺错构瘤

作者: rantiku 人气: - 评论: 0
问题 男,57岁,体检时发现肺部占位,CT检查如图,请选出最可能的诊断 ( )
选项 A、肺转移瘤 B、肺曲菌病 C、周围型肺癌 D、肺结核 E、肺错构瘤
答案 E
解析

猜你喜欢

发表评论
更多 网友评论0 条评论)
暂无评论

访问排行

Copyright © 2012-2014 恰考网 Inc. 保留所有权利。 Powered by tikuer.com

页面耗时0.0346秒, 内存占用1.03 MB, Cache:redis,访问数据库16次