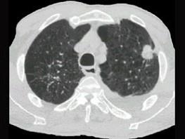
女,64岁,胸背疼痛一周,CT检查如图,最可能的诊断为 ( )A、左上肺单发性转移癌B、左上肺错构瘤C、左上肺周围型肺癌D、左上肺炎性假瘤...

作者: rantiku 人气: - 评论: 0
问题 女,64岁,胸背疼痛一周,CT检查如图,最可能的诊断为 ( )
选项 A、左上肺单发性转移癌 B、左上肺错构瘤 C、左上肺周围型肺癌 D、左上肺炎性假瘤 E、左上肺结核球
答案 C
解析

猜你喜欢

发表评论
更多 网友评论0 条评论)
暂无评论

访问排行

Copyright © 2012-2014 恰考网 Inc. 保留所有权利。 Powered by tikuer.com

页面耗时0.0364秒, 内存占用1.02 MB, Cache:redis,访问数据库14次