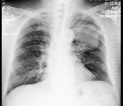
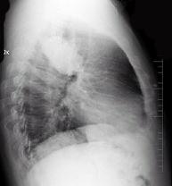
男性,70岁,因胸痛就诊,不咳嗽、发热,X线检查如图,最可能的诊断是 ( )A、左肺炎性假瘤B、支气管扩张C、左侧叶间积液D、左肺癌 ...

作者: rantiku 人气: - 评论: 0
问题 男性,70岁,因胸痛就诊,不咳嗽、发热,X线检查如图,最可能的诊断是 ( )
选项 A、左肺炎性假瘤 B、支气管扩张 C、左侧叶间积液 D、左肺癌 E、左肺结核瘤
答案 D
解析

猜你喜欢

发表评论
更多 网友评论0 条评论)
暂无评论

访问排行

Copyright © 2012-2014 恰考网 Inc. 保留所有权利。 Powered by tikuer.com

页面耗时0.0371秒, 内存占用1.03 MB, Cache:redis,访问数据库20次