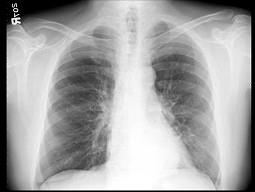
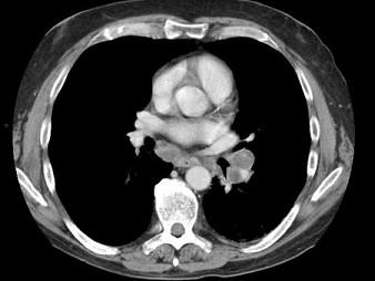
60岁,男,体检胸片发现异常,CT检查如图,请选出最可能的诊断 ( )A、韦格肉芽肿B、支气管腺瘤C、错构瘤D、肺结核E、肺癌

作者: rantiku 人气: - 评论: 0
问题 60岁,男,体检胸片发现异常,CT检查如图,请选出最可能的诊断 ( )
选项 A、韦格肉芽肿 B、支气管腺瘤 C、错构瘤 D、肺结核 E、肺癌
答案 E
解析

猜你喜欢

发表评论
更多 网友评论0 条评论)
暂无评论

访问排行

Copyright © 2012-2014 恰考网 Inc. 保留所有权利。 Powered by tikuer.com

页面耗时0.0434秒, 内存占用1.03 MB, Cache:redis,访问数据库18次