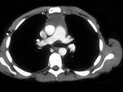
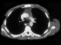
男,64岁,胸部隐痛伴眼睑下垂2个月余,请结合影像学检查图,选出最可能的诊断 ( )A、纵隔畸胎瘤B、间皮囊肿C、胸腺瘤D、胸内甲状腺...

作者: rantiku 人气: - 评论: 0
问题 男,64岁,胸部隐痛伴眼睑下垂2个月余,请结合影像学检查图,选出最可能的诊断 ( )
选项 A、纵隔畸胎瘤 B、间皮囊肿 C、胸腺瘤 D、胸内甲状腺肿 E、淋巴瘤
答案 C
解析

猜你喜欢

发表评论
更多 网友评论0 条评论)
暂无评论

访问排行

Copyright © 2012-2014 恰考网 Inc. 保留所有权利。 Powered by tikuer.com

页面耗时0.0354秒, 内存占用1.03 MB, Cache:redis,访问数据库20次