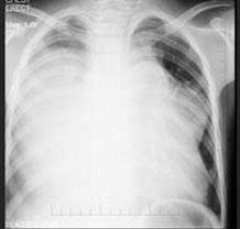
男,13岁,胸痛胸闷2月,胸部检查如图,最可能的诊断为 ( )A、先天性心脏病,动脉导管未闭B、右侧胸腔大量积液C、纵隔占位D、先天性心脏...

作者: rantiku 人气: - 评论: 0
问题 男,13岁,胸痛胸闷2月,胸部检查如图,最可能的诊断为 ( )
选项 A、先天性心脏病,动脉导管未闭 B、右侧胸腔大量积液 C、纵隔占位 D、先天性心脏病,房缺 E、心力衰竭并右侧胸腔积液
答案 C
解析

猜你喜欢

发表评论
更多 网友评论0 条评论)
暂无评论

访问排行

Copyright © 2012-2014 恰考网 Inc. 保留所有权利。 Powered by tikuer.com

页面耗时0.0599秒, 内存占用1.03 MB, Cache:redis,访问数据库18次