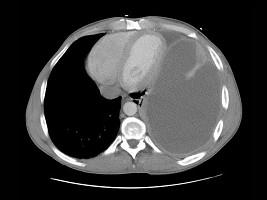
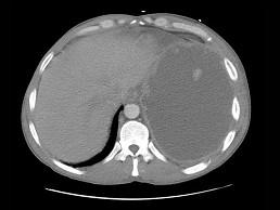
43岁,男,持续高热一周,呼吸急促,胸痛,CT和胸片检查如图,请选出最可能的诊断 ( )A、肺气肿B、胸膜间皮瘤C、肺脓肿D、气胸...

作者: rantiku 人气: - 评论: 0
问题 43岁,男,持续高热一周,呼吸急促,胸痛,CT和胸片检查如图,请选出最可能的诊断 ( )
选项 A、肺气肿 B、胸膜间皮瘤 C、肺脓肿 D、气胸 E、脓胸
答案 E
解析

猜你喜欢

发表评论
更多 网友评论0 条评论)
暂无评论

访问排行

Copyright © 2012-2014 恰考网 Inc. 保留所有权利。 Powered by tikuer.com

页面耗时0.0376秒, 内存占用1.03 MB, Cache:redis,访问数据库20次