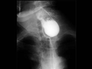
男性患者,24岁,近2年来有胸骨后疼痛感,饮食睡眠情况可,体重不减轻,行X线钡餐检查,结果如图所示,最有可能的诊断是 ( )A、贲门失弛缓症B、以...

作者: rantiku 人气: - 评论: 0
问题 男性患者,24岁,近2年来有胸骨后疼痛感,饮食睡眠情况可,体重不减轻,行X线钡餐检查,结果如图所示,最有可能的诊断是 ( )
选项 A、贲门失弛缓症 B、以上均不正确 C、食管平滑肌瘤 D、食管憩室 E、食管癌
答案 D
解析

猜你喜欢

发表评论
更多 网友评论0 条评论)
暂无评论
错误啦!

错误信息

  • 消息: [程序异常] : MISCONF Redis is configured to save RDB snapshots, but it's currently unable to persist to disk. Commands that may modify the data set are disabled, because this instance is configured to report errors during writes if RDB snapshotting fails (stop-writes-on-bgsave-error option). Please check the Redis logs for details about the RDB error.
  • 文件: /twcms/kongphp/cache/cache_redis.class.php
  • 位置: 第 85 行
    <?php echo 'KongPHP, Road to Jane.'; ?>