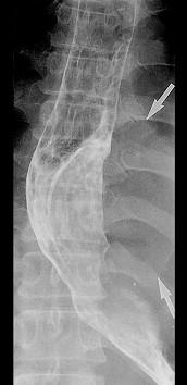
男性患者,32岁,近一年来出现咽下困难、呕吐症状,胸骨后有压迫感,入院行X线钡餐检查,结果如图所示,最有可能的诊断是 ( )A、食管癌B、以上均不...

作者: rantiku 人气: - 评论: 0
问题 男性患者,32岁,近一年来出现咽下困难、呕吐症状,胸骨后有压迫感,入院行X线钡餐检查,结果如图所示,最有可能的诊断是 ( )
选项 A、食管癌 B、以上均不正确 C、贲门失弛症 D、食管平滑肌瘤 E、食管憩室
答案 D
解析

猜你喜欢

发表评论
更多 网友评论0 条评论)
暂无评论

访问排行

Copyright © 2012-2014 恰考网 Inc. 保留所有权利。 Powered by tikuer.com

页面耗时0.0508秒, 内存占用1.03 MB, Cache:redis,访问数据库20次