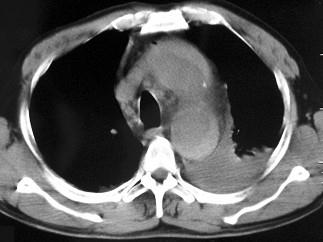
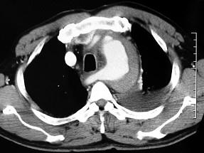
男,58岁,有高血压病史,突发胸背剧痛,CT扫描如图,其最可能的诊断为 ( )A、高安氏病B、主动脉夹层动脉瘤C、主动脉假性动脉瘤...

作者: rantiku 人气: - 评论: 0
问题 男,58岁,有高血压病史,突发胸背剧痛,CT扫描如图,其最可能的诊断为 ( )
选项 A、高安氏病 B、主动脉夹层动脉瘤 C、主动脉假性动脉瘤 D、主动脉窦瘤破裂 E、主动脉瘤
答案 B
解析

猜你喜欢

发表评论
更多 网友评论0 条评论)
暂无评论
错误啦!

错误信息

  • 消息: [程序异常] : MISCONF Redis is configured to save RDB snapshots, but it's currently unable to persist to disk. Commands that may modify the data set are disabled, because this instance is configured to report errors during writes if RDB snapshotting fails (stop-writes-on-bgsave-error option). Please check the Redis logs for details about the RDB error.
  • 文件: /twcms/kongphp/cache/cache_redis.class.php
  • 位置: 第 85 行
    <?php echo 'KongPHP, Road to Jane.'; ?>