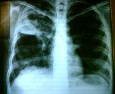
男,55岁,有肺结核史,近1个月来咳嗽、低热,痰中带血,X线胸片如图所示:为确诊采取哪种检查方法最佳 ( )A、痰找瘤细胞,放射性核素扫描B、...

作者: rantiku 人气: - 评论: 0
问题 男,55岁,有肺结核史,近1个月来咳嗽、低热,痰中带血,X线胸片如图所示: 为确诊采取哪种检查方法最佳 ( )
选项 A、痰找瘤细胞,放射性核素扫描 B、胸部CT检查,支气管镜检查 C、胸部CT检查,经胸壁穿刺活检 D、支气管镜检查,纵隔镜检查 E、痰找抗酸杆菌,痰找瘤细胞
答案 B
解析

猜你喜欢

发表评论
更多 网友评论0 条评论)
暂无评论

访问排行

Copyright © 2012-2014 恰考网 Inc. 保留所有权利。 Powered by tikuer.com

页面耗时0.0484秒, 内存占用1.02 MB, Cache:redis,访问数据库13次