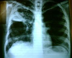
男,55岁,有肺结核史,近1个月来咳嗽、低热,痰中带血,X线胸片如图所示:若该病人确诊为肺癌,对预后影响最大的因素是 ( )A、已发现纵隔转移...

作者: rantiku 人气: - 评论: 0
问题 男,55岁,有肺结核史,近1个月来咳嗽、低热,痰中带血,X线胸片如图所示: 若该病人确诊为肺癌,对预后影响最大的因素是 ( )
选项 A、已发现纵隔转移 B、出现骨关节病综合征 C、属中央型肺癌 D、属小细胞肺癌 E、肿块巨大
答案 D
解析

猜你喜欢

发表评论
更多 网友评论0 条评论)
暂无评论

访问排行

Copyright © 2012-2014 恰考网 Inc. 保留所有权利。 Powered by tikuer.com

页面耗时0.0478秒, 内存占用1.02 MB, Cache:redis,访问数据库13次