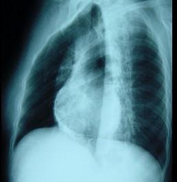
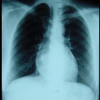
女性,46岁。间断胸痛4年,胸闷2年,外院诊断为“风湿性心脏病”。入院查体:血压110/65mmHg,颈静脉无充盈,心律75次/分,未闻及杂音,双下肢浮肿...

作者: rantiku 人气: - 评论: 0
问题 女性,46岁。间断胸痛4年,胸闷2年,外院诊断为“风湿性心脏病”。入院查体:血压110/65mmHg,颈静脉无充盈,心律75次/分,未闻及杂音,双下肢浮肿,肝脏肋下2cm。 该病的病理和病理生理为 ( )
选项 A、肺淤血 B、以上均是 C、钠、水潴留 D、心肌萎缩 E、右心功能不全
答案 B
解析

猜你喜欢

发表评论
更多 网友评论0 条评论)
暂无评论

访问排行

Copyright © 2012-2014 恰考网 Inc. 保留所有权利。 Powered by tikuer.com

页面耗时0.0325秒, 内存占用1.03 MB, Cache:redis,访问数据库19次