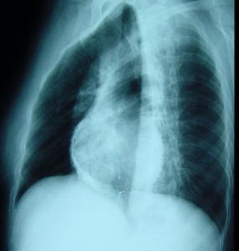
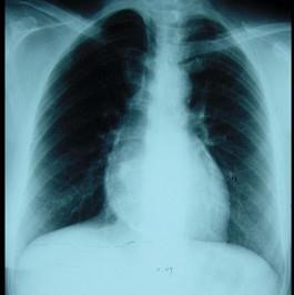
女性,46岁。间断胸痛4年,胸闷2年,外院诊断为“风湿性心脏病”。入院查体:血压110/65mmHg,颈静脉无充盈,心律75次/分,未闻及杂音,双下肢浮肿...

作者: rantiku 人气: - 评论: 0
问题 女性,46岁。间断胸痛4年,胸闷2年,外院诊断为“风湿性心脏病”。入院查体:血压110/65mmHg,颈静脉无充盈,心律75次/分,未闻及杂音,双下肢浮肿,肝脏肋下2cm。 诊断明确后应尽早手术,围术期要点为 ( )
选项 A、保持电解质平衡 B、以上均是 C、术中需避免麻醉过深,严密监测中心静脉压、动脉压和心电图 D、术后要加强对病人的监测,输液量不宜过多,量出为入 E、术前需改善病人全身营养状况
答案 B
解析

猜你喜欢

发表评论
更多 网友评论0 条评论)
暂无评论

访问排行

Copyright © 2012-2014 恰考网 Inc. 保留所有权利。 Powered by tikuer.com

页面耗时0.0509秒, 内存占用1.02 MB, Cache:redis,访问数据库13次