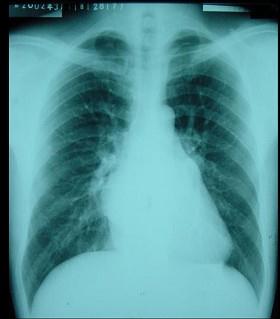
男性,30岁。活动时心慌、气促两年,加重一年,一年前出现“脑栓塞”,心律98次/分,心律绝对不齐,心尖可闻及中重度舒张期隆隆样杂音,胸骨左缘3、4肋间可闻...

作者: rantiku 人气: - 评论: 0
问题 男性,30岁。活动时心慌、气促两年,加重一年,一年前出现“脑栓塞”,心律98次/分,心律绝对不齐,心尖可闻及中重度舒张期隆隆样杂音,胸骨左缘3、4肋间可闻及Ⅱ~Ⅲ/6级收缩期杂音。 心脏正位片如图所示,可以观察到以下哪个描述 ( )
选项 A、肺缺血+主动脉瓣型心 B、左向右分流先天性心脏病 C、肺淤血+主动脉瓣型心 D、肺缺血+二尖瓣型心 E、肺淤血+二尖瓣型心
答案 E
解析

猜你喜欢

发表评论
更多 网友评论0 条评论)
暂无评论

访问排行

Copyright © 2012-2014 恰考网 Inc. 保留所有权利。 Powered by tikuer.com

页面耗时0.0284秒, 内存占用1.03 MB, Cache:redis,访问数据库19次