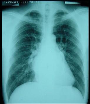
男性,30岁。活动时心慌、气促两年,加重一年,一年前出现“脑栓塞”,心律98次/分,心律绝对不齐,心尖可闻及中重度舒张期隆隆样杂音,胸骨左缘3、4肋间可闻...

作者: rantiku 人气: - 评论: 0
问题 男性,30岁。活动时心慌、气促两年,加重一年,一年前出现“脑栓塞”,心律98次/分,心律绝对不齐,心尖可闻及中重度舒张期隆隆样杂音,胸骨左缘3、4肋间可闻及Ⅱ~Ⅲ/6级收缩期杂音。 该病人最可能的诊断是 ( )
选项 A、二尖瓣关闭不全 B、法洛四联症 C、主动脉瓣狭窄 D、二尖瓣狭窄合并三尖瓣关闭不全 E、室间隔缺损
答案 D
解析

猜你喜欢

发表评论
更多 网友评论0 条评论)
暂无评论

访问排行

Copyright © 2012-2014 恰考网 Inc. 保留所有权利。 Powered by tikuer.com

页面耗时0.0366秒, 内存占用1.03 MB, Cache:redis,访问数据库18次