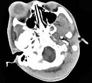
女,24岁,发热畏寒四天,右眼睛疼痛,PE:右眼睑肿胀,结膜充血,伴右眼突出,CT如图所示,应诊断为 ( )A、眼眶蜂窝织炎B、眼型G...

作者: rantiku 人气: - 评论: 0
问题 女,24岁,发热畏寒四天,右眼睛疼痛,PE:右眼睑肿胀,结膜充血,伴右眼突出,CT如图所示,应诊断为 ( )
选项 A、眼眶蜂窝织炎 B、眼型Graves病 C、炎性假瘤 D、淋巴瘤 E、Coats病
答案 A
解析

猜你喜欢

发表评论
更多 网友评论0 条评论)
暂无评论

访问排行

Copyright © 2012-2014 恰考网 Inc. 保留所有权利。 Powered by tikuer.com

页面耗时0.0367秒, 内存占用1.03 MB, Cache:redis,访问数据库20次