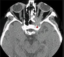
下列关于眶蜂窝织炎(如图)正确的是 ( )A、瞳孔异常主要是因睫状神经结受累B、是一种特异性炎症C、最常见由于面部疖肿引起D、分为眶隔前或...

作者: rantiku 人气: - 评论: 0
问题 下列关于眶蜂窝织炎(如图)正确的是 ( )
选项 A、瞳孔异常主要是因睫状神经结受累 B、是一种特异性炎症 C、最常见由于面部疖肿引起 D、分为眶隔前或后两种 E、可引起海绵窦血栓静脉炎
答案 E
解析

猜你喜欢

发表评论
更多 网友评论0 条评论)
暂无评论

访问排行

Copyright © 2012-2014 恰考网 Inc. 保留所有权利。 Powered by tikuer.com

页面耗时0.0687秒, 内存占用1.03 MB, Cache:redis,访问数据库15次