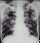
男,45岁,HBV阳性十年,胸痛1月伴咳嗽,咯血1天,胸片如图,选择最可能的诊断()A.肺多发性脓肿B.肺韦格氏肉芽肿C.HBV病毒肺部转移 ...

作者: rantiku 人气: - 评论: 0
问题 男,45岁,HBV阳性十年,胸痛1月伴咳嗽,咯血1天,胸片如图,选择最可能的诊断()
选项 A.肺多发性脓肿 B.肺韦格氏肉芽肿 C.HBV病毒肺部转移 D.金葡菌感染 E.肺转移癌
答案 E
解析

猜你喜欢

发表评论
更多 网友评论0 条评论)
暂无评论

访问排行

Copyright © 2012-2014 恰考网 Inc. 保留所有权利。 Powered by tikuer.com

页面耗时0.0404秒, 内存占用1.03 MB, Cache:redis,访问数据库20次