65岁男性,吸烟史30余年,近半年来颈部出现疼痛性肿块,CT扫描如图所示,请选择最可能诊断()A.淋巴结核B.血管瘤C.神经鞘瘤 ...

作者: rantiku 人气: - 评论: 0
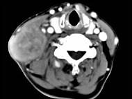
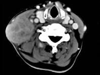
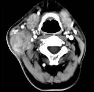
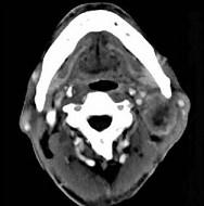
问题 65岁男性,吸烟史30余年,近半年来颈部出现疼痛性肿块,CT扫描如图所示,请选择最可能诊断()
选项 A.淋巴结核 B.血管瘤 C.神经鞘瘤 D.淋巴结转移瘤 E.软组织脓肿
答案 D
解析

猜你喜欢

发表评论
更多 网友评论0 条评论)
暂无评论

访问排行

Copyright © 2012-2014 恰考网 Inc. 保留所有权利。 Powered by tikuer.com

页面耗时0.1324秒, 内存占用1.03 MB, Cache:redis,访问数据库19次