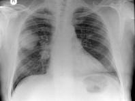
男,58岁,咳嗽、气促3个月,抽烟二十余年,请结合胸片选择最可能的诊断()A.肺癌B.胸膜间皮瘤C.肺结核D.错构瘤E.结节病

作者: rantiku 人气: - 评论: 0
问题 男,58岁,咳嗽、气促3个月,抽烟二十余年,请结合胸片选择最可能的诊断()
选项 A.肺癌 B.胸膜间皮瘤 C.肺结核 D.错构瘤 E.结节病
答案 A
解析

猜你喜欢

发表评论
更多 网友评论0 条评论)
暂无评论

访问排行

Copyright © 2012-2014 恰考网 Inc. 保留所有权利。 Powered by tikuer.com

页面耗时0.0355秒, 内存占用1.03 MB, Cache:redis,访问数据库20次