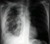
男,40岁,胸痛胸闷2月,胸片如图,最可能的诊断为()A.右侧恶性胸膜间皮瘤B.右侧胸腔积液C.右侧包裹性积液D.右侧良性胸膜间皮瘤E...

作者: rantiku 人气: - 评论: 0
问题 男,40岁,胸痛胸闷2月,胸片如图,最可能的诊断为()
选项 A.右侧恶性胸膜间皮瘤 B.右侧胸腔积液 C.右侧包裹性积液 D.右侧良性胸膜间皮瘤 E.右侧胸膜增厚
答案 A
解析

猜你喜欢

发表评论
更多 网友评论0 条评论)
暂无评论

访问排行

Copyright © 2012-2014 恰考网 Inc. 保留所有权利。 Powered by tikuer.com

页面耗时0.0421秒, 内存占用1.03 MB, Cache:redis,访问数据库17次