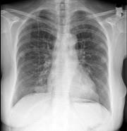
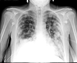
女,51岁,胸闷、咳嗽、咳痰,3年前被确诊为子宫平滑肌肉瘤,请结合胸片选出最可能的诊断()A.粟粒性肺结核B.肺转移瘤C.结节病D.胶...

作者: rantiku 人气: - 评论: 0
问题 女,51岁,胸闷、咳嗽、咳痰,3年前被确诊为子宫平滑肌肉瘤,请结合胸片选出最可能的诊断()
选项 A.粟粒性肺结核 B.肺转移瘤 C.结节病 D.胶原病 E.真菌病
答案 B
解析

猜你喜欢

发表评论
更多 网友评论0 条评论)
暂无评论

访问排行

Copyright © 2012-2014 恰考网 Inc. 保留所有权利。 Powered by tikuer.com

页面耗时0.0866秒, 内存占用1.02 MB, Cache:redis,访问数据库14次