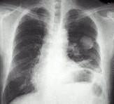
男,67岁,胸痛半月,胸片检查如图,最可能的诊断为()A.左上肺结核球B.左上肺周围型肺癌C.左上肺炎性假瘤D.左上肺球形不张E.左上肺脓肿

作者: rantiku 人气: - 评论: 0
问题 男,67岁,胸痛半月,胸片检查如图,最可能的诊断为()
选项 A.左上肺结核球 B.左上肺周围型肺癌 C.左上肺炎性假瘤 D.左上肺球形不张 E.左上肺脓肿
答案 B
解析

猜你喜欢

发表评论
更多 网友评论0 条评论)
暂无评论

访问排行

Copyright © 2012-2014 恰考网 Inc. 保留所有权利。 Powered by tikuer.com

页面耗时0.0569秒, 内存占用1.03 MB, Cache:redis,访问数据库20次