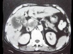
男,68岁,上腹部隐痛二月余,CT检查如图,最可能的诊断是()A.慢性胆囊炎B.胆囊癌(肿块型)C.胆囊腺肌增生症D.胆囊息肉...

作者: rantiku 人气: - 评论: 0
问题 男,68岁,上腹部隐痛二月余,CT检查如图,最可能的诊断是()
选项 A.慢性胆囊炎 B.胆囊癌(肿块型) C.胆囊腺肌增生症 D.胆囊息肉 E.胆囊区转移瘤
答案 B
解析

猜你喜欢

发表评论
更多 网友评论0 条评论)
暂无评论

访问排行

Copyright © 2012-2014 恰考网 Inc. 保留所有权利。 Powered by tikuer.com

页面耗时0.0410秒, 内存占用1.03 MB, Cache:redis,访问数据库17次