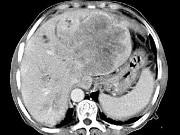
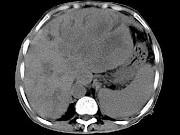
女,73岁,中上腹痛1月余,患者黄疸、消瘦,CT检查如下图,最可能的诊断是()A.肝脓肿B.巨块型肝癌C.肝血管瘤D.肝淋巴管...

作者: rantiku 人气: - 评论: 0
问题 女,73岁,中上腹痛1月余,患者黄疸、消瘦,CT检查如下图,最可能的诊断是()
选项 A.肝脓肿 B.巨块型肝癌 C.肝血管瘤 D.肝淋巴管瘤 E.肝胆管细胞癌
答案 B
解析

猜你喜欢

发表评论
更多 网友评论0 条评论)
暂无评论

访问排行

Copyright © 2012-2014 恰考网 Inc. 保留所有权利。 Powered by tikuer.com

页面耗时0.0344秒, 内存占用1.03 MB, Cache:redis,访问数据库20次