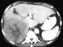
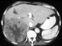
男,69岁,肝区疼痛,消瘦乏力三月余,CT检查如图,请作出最可能诊断()A.肝囊肿B.肝脓肿C.肝血管瘤D.肝转移瘤E.巨块型肝癌

作者: rantiku 人气: - 评论: 0
问题 男,69岁,肝区疼痛,消瘦乏力三月余,CT检查如图,请作出最可能诊断()
选项 A.肝囊肿 B.肝脓肿 C.肝血管瘤 D.肝转移瘤 E.巨块型肝癌
答案 E
解析

猜你喜欢

发表评论
更多 网友评论0 条评论)
暂无评论

访问排行

Copyright © 2012-2014 恰考网 Inc. 保留所有权利。 Powered by tikuer.com

页面耗时0.0492秒, 内存占用1.03 MB, Cache:redis,访问数据库19次