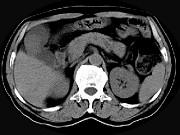
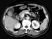
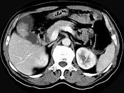
男,45岁,右季肋区疼痛,Murphy征阳性,B超提示胆囊息肉,CT所见如图,最可能的诊断是()A.胆囊息肉B.胆囊癌C.慢性胆囊...

作者: rantiku 人气: - 评论: 0
问题 男,45岁,右季肋区疼痛,Murphy征阳性,B超提示胆囊息肉,CT所见如图,最可能的诊断是()
选项 A.胆囊息肉 B.胆囊癌 C.慢性胆囊炎 D.胆囊转移癌 E.胆囊腺肌增生症
答案 B
解析

猜你喜欢

发表评论
更多 网友评论0 条评论)
暂无评论

访问排行

Copyright © 2012-2014 恰考网 Inc. 保留所有权利。 Powered by tikuer.com

页面耗时0.0351秒, 内存占用1.03 MB, Cache:redis,访问数据库20次