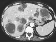
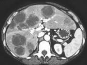
男,54岁,患者1年前行结肠癌手术,癌胚抗原增高,影像检查如图,最可能的诊断是()A.多发结节性肝癌B.结肠癌肝转移C.多发性肝脓肿D...

作者: rantiku 人气: - 评论: 0
问题 男,54岁,患者1年前行结肠癌手术,癌胚抗原增高,影像检查如图,最可能的诊断是()
选项 A.多发结节性肝癌 B.结肠癌肝转移 C.多发性肝脓肿 D.多发性肝囊肿 E.肝淋巴瘤
答案 B
解析

猜你喜欢

发表评论
更多 网友评论0 条评论)
暂无评论

访问排行

Copyright © 2012-2014 恰考网 Inc. 保留所有权利。 Powered by tikuer.com

页面耗时0.0732秒, 内存占用1.03 MB, Cache:redis,访问数据库19次