女,66岁,右上腹痛,发热伴有黄疸两月余,消瘦、纳差,影像检查如图,最可能的诊断是()A.胆囊结石及脂肪肝B.胆囊结石及肝血管瘤C...

作者: rantiku 人气: - 评论: 0
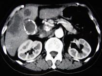
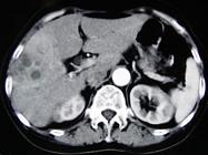
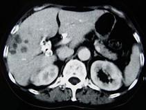
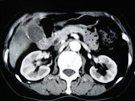
问题 女,66岁,右上腹痛,发热伴有黄疸两月余,消瘦、纳差,影像检查如图,最可能的诊断是()
选项 A.胆囊结石及脂肪肝 B.胆囊结石及肝血管瘤 C.胆囊癌肝转移 D.肝内胆管细胞癌 E.胆囊癌及原发性肝癌
答案 C
解析

猜你喜欢

发表评论
更多 网友评论0 条评论)
暂无评论

访问排行

Copyright © 2012-2014 恰考网 Inc. 保留所有权利。 Powered by tikuer.com

页面耗时0.0763秒, 内存占用1.03 MB, Cache:redis,访问数据库19次