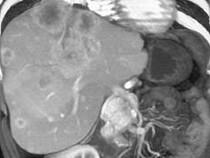
男,48岁,胃癌术后1年,未化疗,CT检查如图所示,最可能诊断为()A.肝癌B.肝转移癌C.肝血管瘤D.肝脓肿E.肝囊肿

作者: rantiku 人气: - 评论: 0
问题 男,48岁,胃癌术后1年,未化疗,CT检查如图所示,最可能诊断为()
选项 A.肝癌 B.肝转移癌 C.肝血管瘤 D.肝脓肿 E.肝囊肿
答案 B
解析

猜你喜欢

发表评论
更多 网友评论0 条评论)
暂无评论

访问排行

Copyright © 2012-2014 恰考网 Inc. 保留所有权利。 Powered by tikuer.com

页面耗时0.0397秒, 内存占用1.03 MB, Cache:redis,访问数据库18次