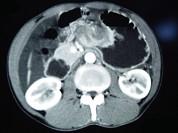
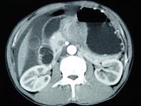
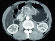
男,65岁,中上腹痛腹胀、消瘦、乏力、纳差,影像检查如图,最可能的诊断是()A.胃间质瘤B.萎缩性胃炎C.肥厚性胃炎D.胃窦癌...

作者: rantiku 人气: - 评论: 0
问题 男,65岁,中上腹痛腹胀、消瘦、乏力、纳差,影像检查如图,最可能的诊断是()
选项 A.胃间质瘤 B.萎缩性胃炎 C.肥厚性胃炎 D.胃窦癌 E.胃淋巴瘤
答案 D
解析

猜你喜欢

发表评论
更多 网友评论0 条评论)
暂无评论

访问排行

Copyright © 2012-2014 恰考网 Inc. 保留所有权利。 Powered by tikuer.com

页面耗时0.0545秒, 内存占用1.03 MB, Cache:redis,访问数据库17次