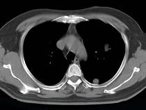
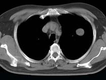
女性患者,42岁,1年前行肝癌手术,胸部CT扫描如图,应诊断为()A.肝癌肺转移B.肺结核球C.球形肺炎D.肺多发囊肿E.肺脓肿

作者: rantiku 人气: - 评论: 0
问题 女性患者,42岁,1年前行肝癌手术,胸部CT扫描如图,应诊断为()
选项 A.肝癌肺转移 B.肺结核球 C.球形肺炎 D.肺多发囊肿 E.肺脓肿
答案 A
解析

猜你喜欢

发表评论
更多 网友评论0 条评论)
暂无评论

访问排行

Copyright © 2012-2014 恰考网 Inc. 保留所有权利。 Powered by tikuer.com

页面耗时0.0677秒, 内存占用1.02 MB, Cache:redis,访问数据库14次