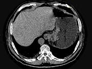
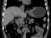
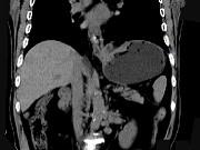
男,75岁,吞咽有梗阻感,消瘦、乏力、中上腹痛,影像检查如图,最可能的诊断是()A.食道癌B.胃窦癌C.贲门癌D.慢性胃炎...

作者: rantiku 人气: - 评论: 0
问题 男,75岁,吞咽有梗阻感,消瘦、乏力、中上腹痛,影像检查如图,最可能的诊断是()
选项 A.食道癌 B.胃窦癌 C.贲门癌 D.慢性胃炎 E.胃淋巴瘤
答案 C
解析

猜你喜欢

发表评论
更多 网友评论0 条评论)
暂无评论

访问排行

Copyright © 2012-2014 恰考网 Inc. 保留所有权利。 Powered by tikuer.com

页面耗时0.0471秒, 内存占用1.03 MB, Cache:redis,访问数据库18次