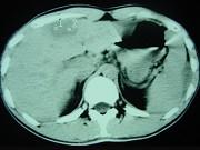
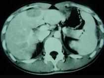
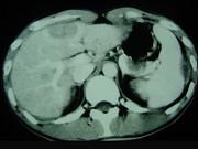
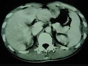
男,35岁,病人低热、消瘦、乏力,左右季肋区疼痛,CT扫描如图,请选择最佳诊断()A.肝脓肿、腹腔脓肿B.肝结核、腹腔结核C.肝癌...

作者: rantiku 人气: - 评论: 0
问题 男,35岁,病人低热、消瘦、乏力,左右季肋区疼痛,CT扫描如图,请选择最佳诊断()
选项 A.肝脓肿、腹腔脓肿 B.肝结核、腹腔结核 C.肝癌、腹腔转移 D.肝脏及腹腔转移瘤 E.肝海绵状血管瘤、腹腔脓肿
答案 B
解析

猜你喜欢

发表评论
更多 网友评论0 条评论)
暂无评论

访问排行

Copyright © 2012-2014 恰考网 Inc. 保留所有权利。 Powered by tikuer.com

页面耗时0.0384秒, 内存占用1.03 MB, Cache:redis,访问数据库19次