男,56岁,无规律上腹痛,左锁骨上淋巴结肿大,消瘦、乏力,影像检查如图,最可能的诊断是()A.腹膜结核B.胃溃疡穿孔C.胃癌并盆腔...

作者: rantiku 人气: - 评论: 0
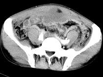
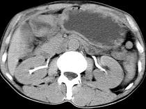
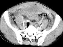
问题 男,56岁,无规律上腹痛,左锁骨上淋巴结肿大,消瘦、乏力,影像检查如图,最可能的诊断是()
选项 A.腹膜结核 B.胃溃疡穿孔 C.胃癌并盆腔种植 D.胃及腹腔淋巴瘤 E.肠系膜淋巴管瘤
答案 C
解析

猜你喜欢

发表评论
更多 网友评论0 条评论)
暂无评论

访问排行

Copyright © 2012-2014 恰考网 Inc. 保留所有权利。 Powered by tikuer.com

页面耗时0.0850秒, 内存占用1.03 MB, Cache:redis,访问数据库19次