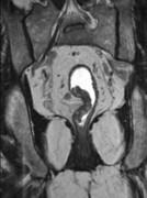
男,70岁,下腹部腹胀、腹痛、排便困难,逐渐加重,MRI示直肠内不规则充盈缺损,请选择最佳诊断结果()A.直肠息肉B.直肠癌C.直肠间...

作者: rantiku 人气: - 评论: 0
问题 男,70岁,下腹部腹胀、腹痛、排便困难,逐渐加重,MRI示直肠内不规则充盈缺损,请选择最佳诊断结果()
选项 A.直肠息肉 B.直肠癌 C.直肠间质瘤 D.直肠转移瘤 E.直肠淋巴瘤
答案 B
解析

猜你喜欢

发表评论
更多 网友评论0 条评论)
暂无评论

访问排行

Copyright © 2012-2014 恰考网 Inc. 保留所有权利。 Powered by tikuer.com

页面耗时0.0390秒, 内存占用1.03 MB, Cache:redis,访问数据库17次